Chuyên đề KCB
-
Bệnh ghẻ và các phương pháp xét nghiệm chẩn đoán ghẻ
1. Đại cương Bệnh ghẻ là một bệnh phổ biến do lây nhiễm ký sinh trùng, thường xuất hiện ở…
Read More » -
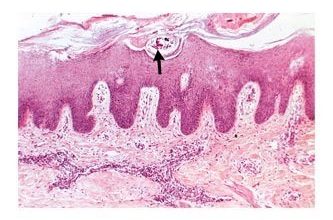
Phân loại bệnh mụn hoặc bọng nước theo vị trí mô bệnh học
Tùy theo vị trí của mụn nước hoặc bọng nước khác nhau ở trong hay ở dưới thượng bì mà…
Read More » -
Phân biệt mô bệnh học bệnh pemphigus vulgaris, daries và hailey – hailey
Đại Cương – Bệnh Pemphigus vulgaris: Thuật ngữ “pemphigus” chỉ một nhóm bệnh bọng nước mạn tính hiếm gặp với…
Read More » -
Kiềm hãm sự phân biệt đối xử
Như sự thống nhất của Ủy Ban Quyền Con Người của Liên Hiệp Quốc vào tháng 6 năm 2008 trong…
Read More » -
Chế độ dinh dưỡng cho người mắc bệnh da liễu
1. Mở đầu Dinh dưỡng trong điều trị có vai trò vô cùng quan trọng, đặc biệt trong các bệnh…
Read More » -
Phương pháp khám phát hiện bệnh nhân phong mới trong giai đoạn hiện nay
Để tránh lãng phí không cần thiết và thống nhất trong chỉ đạo, trong tổ chức thực hiện, công tác…
Read More » -
Tác dụng ngăn ngừa ung thư của chất xơ phụ thuộc vào vi khuẩn đường ruột
Một nghiên cứu mới ở chuột cho thấy chế độ ăn nhiều chất xơ có thể ngăn ngừa ung thư ruột kết, với điều kiện đường ruột…
Read More » -
Bệnh phong tái lập trình tế bào cơ thể
Bệnh phong có thể bị giấu đi. Một nghiên cứu mới đây cho thấy vi khuẩn phong có thể tái lập…
Read More » -
Hướng dẫn phân loại , thu gom chất thải y tế dành cho người bệnh và người nhà người bệnh
Chất thải phát sinh từ cơ sở y tế trong quá trình thực hiện hoạt động khám, chữa bệnh, dự…
Read More » -
Chất lượng cuộc sống của bệnh nhân phong và một số yếu tố liên quan
Tổng quan: Bệnh phong là đối tượng dễ bị tàn tật về thể xác và tổn thương tâm lý, ảnh hưởng…
Read More »